Skip to content

Full Mouth Reconstruction ()
Implant Dentistry in Lexington, MA

Single-tooth implants, full-arch All-on-4 and All-on-6, our licensed 3-on-6™ protocol, full mouth restoration, and cosmetic dentistry — serving Lexington, Boston, Brookline and Greater Boston from one modern office.

Who We Help

Three Patient Paths to a Permanent, Confident Smile

01

Discolored, Worn or Misaligned Teeth

You hide your smile in photos. Porcelain veneers, whitening, and Invisalign restore a natural, bright, and balanced look without over-treating healthy teeth.

Explore Cosmetic Dentistry
02

Failing Teeth & Dental Work

Crowns breaking. Bridges failing. Bite collapsing. Full mouth reconstruction replaces patchwork fixes with a coordinated plan built to last decades.

Explore Full Mouth Restoration

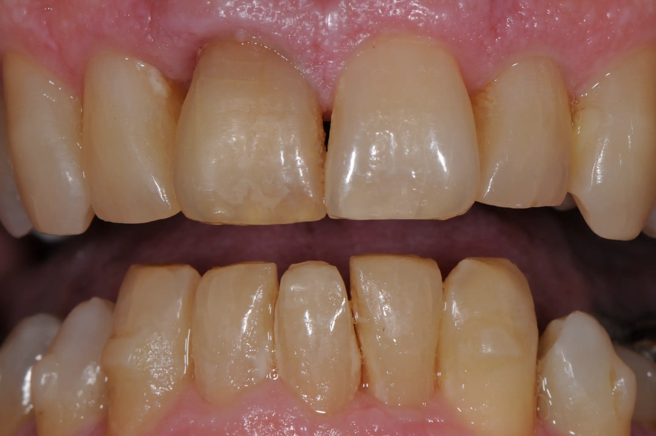
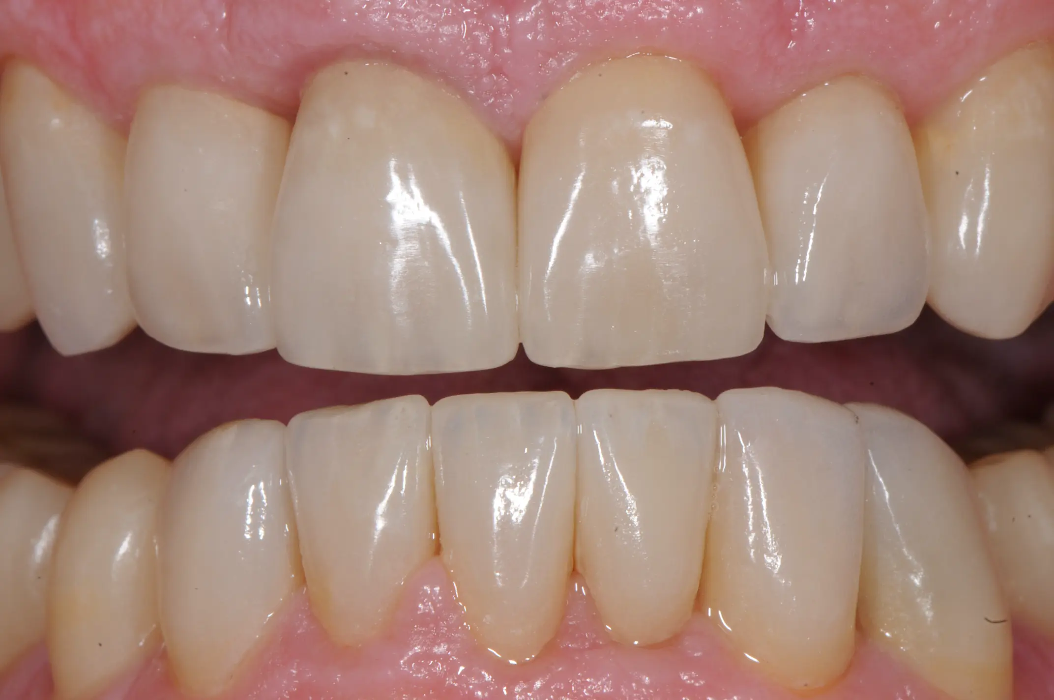
Before & After

Real Patients. Real Transformations.

Every smile below was built at our Lexington office — full mouth reconstructions, 3-on-6™ implant cases, and cosmetic transformations for patients across Greater Boston.

Contributors:

ALEX FEDORENKO

Dental - Full Mouth Reconstruction

Contributors:

ALEX FEDORENKO

Dental - 3-on-6 Implant Cases

Contributors:

ALEX FEDORENKO

Dental - Porcelain Veneers

Comprehensive Consultation & 3D Imaging

YOUR TREATMENT JOURNEY

A Clear 4-Step Path to Your New Smile

Your first visit starts with a full exam, CBCT 3D scan, and bite analysis. No pressure to proceed — we map what's realistic, what isn't, and provide a clear written estimate before anything is scheduled.

Dr. Fedorenko or Dr. Ford builds your case in digital planning software — implant positions, surgical guides, and smile design. You see the expected result before surgery day.

Implants are placed with implant-focused precision using surgical guides; veneers and crowns are fabricated by our licensed lab partner. For 3-on-6 cases, temporary teeth go in the same day when possible.

You stay with your treating doctor — Dr. Fedorenko or Dr. Ford — no handoffs to associates. Routine checks, cleanings, and implant maintenance are all handled in our Lexington office. The 3-on-6™ protocol includes a Limited Lifetime Lab Warranty.

Our Doctors
ALEX FEDORENKO
ALEX FEDORENKO, DMD Restorative & Cosmetic Dentist
Since 2012

ALEX FEDORENKO, DMD

Restorative & Cosmetic Dentist


12+ years of experience

Education

Henry M. Goldman School of Dental Medicine at Boston University

Dr. Alex Fedorenko, DMD is a member of the American Academy of Cosmetic Dentistry and the Massachusetts Dental Society, and a listed Massachusetts 3-on-6™ licensee. He completed his DMD at the Henry M. Goldman School of Dental Medicine at Boston University, with over a decade of focused experience in dental implants and cosmetic dentistry.

Christian Ford
CHRISTIAN FORD, DMD Implant & Cosmetic Dentist
Since 2012

CHRISTIAN FORD, DMD

Implant & Cosmetic Dentist


12+ years of experience

Education

Boston University Henry M. Goldman School of Dental Medicine

A Newton, Massachusetts native, Dr. Christian Ford brings academic credentials and advanced surgical training to every case. A Magna Cum Laude graduate of Boston University's Henry M. Goldman School of Dental Medicine, he has completed over 300 hours of advanced Implantology residency training and is progressing toward Associate Fellowship status with the American Academy of Implant Dentistry. His practice focus is implant and cosmetic dentistry.

Frequently Asked

Answers for Lexington & Greater Boston Patients

We're at 1 Wallis Court, Suite 3, Lexington, MA 02421 — just off Route 2 and Route 2A, about 25 minutes from downtown Boston and 15 minutes from Cambridge. Free parking at our door. New Patients: (617) 356-0860 · Existing Patients: (413) 848-6923.

Monday through Friday, 9:00 AM – 4:00 PM. Closed Saturday and Sunday. For same-day dental emergencies during business hours, new patients call (617) 356-0860 and existing patients call (413) 848-6923.

Yes — most of our patients travel from across Greater Boston: Arlington, Belmont, Bedford, Winchester, Woburn, Burlington, Waltham, Cambridge, Brookline, Newton, and Boston proper. Our Wallis Court location is easy to reach from Route 2 / I-95 / Route 128.

All three are full-arch implant solutions that replace a complete row of missing teeth. All-on-4 uses four implants supporting one continuous bridge — the most widely known approach. All-on-6 adds two more implants for additional support, still under a single bridge. 3-on-6™ uses six implants but divides the arch into three individual porcelain bridges, distributing bite force more evenly and letting us repair or replace a single section without rebuilding the entire arch. Metro Dental is a Massachusetts licensee for the 3-on-6™ protocol (see 3on6.com).

We accept Blue Cross Blue Shield of Massachusetts (Indemnity plans) and Delta Dental (Premier plans). For all other dental insurers we operate as a fee-for-service practice — we submit claims on your behalf for any portion your plan covers, and provide detailed itemized receipts. Most patients finance major work through CareCredit or Proceed Finance.

Every case is unique. We provide a personalized written estimate at your consultation — no surprises, no 'add-ons after surgery.' CareCredit offers up to 24-month no-interest plans; Proceed Finance offers longer terms up to 120 months for full-mouth cases. Details on our Payment Options page.

Your care team is Dr. Alex Fedorenko, DMD and Dr. Christian Ford, DMD — both implant-focused dentists. Metro Dental is a listed Massachusetts 3-on-6™ licensee (verify at 3on6.com). You stay with your treating doctor from consultation through long-term follow-up — no associate handoffs.

Thank you — a member of our Lexington team will reach out within one business day.

Book Your Consultation Restore Your Smile

Take the first step toward a restored, confident smile. We'll review your goals, take 3D images, and provide a written treatment plan — at our Lexington, MA office just off Route 2.

Polina Batova 3 months ago

I had an appointment at this clinic and I was very satisfied with my experience!) The clinic is very clean, modern and well-organized. The staff is friendly and professional. The doctor was kind, and highly competent. Everything was explained clearly, and I felt comfortable throughout the visit. I truly appreciate the quality of care and would definitely recommend this clinic to others 🥰

Tracy 4 months ago

Love Metro dental ! Dr Alex does a great job with implants and taking care of the whole picture. The staff wonderful to work with .

Yevgen Dragoy 4 months ago

Great experience at this dental clinic! Dr. Alex and his team are highly professional and attentive to every detail. The quality of work is excellent, and the entire process was smooth and VERY comfortable. Highly recommend this clinic to anyone looking for reliable and high-quality dental care.

Big Kid Barone 5 months ago

I dont leave reviews anymore...I forget to update them sorry

Honest person 5 months ago

I rarely write positive reviews, but this time I want to say thank you 100%. I truly appreciate honest doctors who care about their reputation, their work, and their patients — not just money. This doctor is exactly that. The free consultation lasted over an hour, not 10 minutes. X-rays were taken, and everything was clearly explained and shown to me: what treatment was needed, why, and what the underlying causes were. There was no rush and no pressure — just professionalism, attention, and genuine care. I am also very happy with the treatment itself. Highly recommended!

Лидия Левина 5 months ago

I’d love to share my experience at this dental studio. This was one of those rare times when a dental visit felt calm, comfortable, and genuinely pleasant. I received a complimentary consultation where everything was explained clearly and thoroughly, and a thoughtful treatment plan was created for me. Throughout the entire visit, I felt completely taken care of. The team worked with such professionalism, precision, and care, always paying close attention to my comfort. All of my dental treatment was done beautifully, and I left not only with great results but also feeling relaxed and truly grateful. I’m so happy I trusted this team and found a dental studio I can confidently call my own. Thank you for your professionalism, kindness, and care. I will definitely be coming back.

Aleksei Plotnikov 5 months ago

I went to another dentist for five years, and I was disappointed with that place! As for Metro Dental & Implant Studio, the first visit proved to be very effective and informative. I received excellent advice and a clearer idea of what I need to do with my teeth in the coming time! Thank you to these people for their high professionalism and individual approach!

Vlad Getman 7 months ago

I haven’t been to the dentist in 9 years and finally decided to make a trip from Missouri to see Dr. Alex and his team! It was the best decision I’ve made! Ребята, у кого проблемы с зубами настоятельно рекомендую эту клинику! Прошел весь курс лечения за два дня. Если бы еще раз приходилось лечить зубы, это было бы только в Метро дентал! Alex is perfect doctor, a Pro in his trait !

Olena Kompanets 8 months ago

Дуже дякую лікарю Алексу за гарну роботу відносно моєї посмішки. Людина знаходиться на своєму місті 😊🙌 всім добра 😊

Viktoriya Panchelyga 1 year ago

Привіт. Завітали в студію і нас одразу охопила благоприємна атмосфера🤗 Адміністратор Кароліна дуже мила 🥰 Гігієна та чистота на вищому рівні. Нам порекомендували і ми стали пацієнтами. Алекс та його команда відповідальні професіонали своєї справи. Ми щиро раді знайомству з цією неймовірною командою🥰 з нетерпінням чекатиму кінцевого результату для мого брата. Сподіваюся він сяятиме не лише посмішкою але і щастям🤗

Natali 1 year ago

Всем привет! Сегодня я хочу дополнить свой отзыв о клинике которую посещаю без стресса и каких то негативных эмоций! Мне не повезло и зубы мое слабое место...поэтому опыт лечения у меня очень большой. И я могу твердо утверждать ,что это лучшая стоматология из всех где мне приходилось лечить зубы! Команда Алекса очень организованная и невероятно компетентна ! При всем этом работники постоянно изучают новые технологии и приспособления. Подход очень индивидуальный к каждому клиенту, терпение и выдержка на высоте. Сотрудники сплочённые и предупреждают действия друг друга, я в восторге! При не предвиденных обязательствах, всегда стараются назначить запись или перенести если не получается приехать в уже назначенный день! Рекомендую от всего сердца! Спасибо!!!

Johao cardona vallejo 1 year ago

Bueno, colo hispano en usa, ir al dentista no es favil ni economico, pero la verdad es que en este lugar encontre tanto como in excelente servicio como muy buenos precios, tienen muy buen personal empezando por Carolina la señorita del mostrador, el Dr Ford tiene muy buen trato y aremas es muy claro con el tratamiento!! Super recomendados!! Well, as a Hispanic in the USA, going to the dentist is not easy or economical, but the truth is that in this place I found both excellent service and very good prices, they have very good staff starting with Carolina, the lady at the counter, Dr Ford He has very good treatment and Aremas is very clear with the treatment!! Super recommended!!

Anna Anosova 2 years ago

Выражаю свою признательность волшебным рукам и настоящему лечебному таланту 👍💪🏻Alex Fedorenko Неоднократное двухчасовое лечение пролетало незаметно, все манипуляции были легки и безболезненны, руки врача были невесомы и совершенно не задевали ни щек, ни губ, не давили на челюсти, 🤩а обстановка в кабинете спокойная умиротворяющая, иной раз даже забывала, что нахожусь в кресле стоматолога, если глаза закрыты и звучала негромкая музыка. 😊Благодарю вас, Alex Fedorenko ,за ваш талант Врача!. Рекомендую! И обязательно приеду еще если мне понадобится 😉🤩🫶🏻

Катерина Кравченко 2 years ago

Посещала клинику несколько раз, осталась очень довольной. Доктор Алекс проявил профессионализм в своем деле, учитывая мое положение ( беременность) , все прошло успешно, и чувствовала себя очень хорошо. Огромное спасибо!!!

Jeannette Diaz 2 years ago

La atención del odontólogo Ford es excelente ya que su profesionalismo hacia el paciente es bueno yo en lo particular soy muy nerviosa y me siento muy cómoda en manos del dentista. También quiero destacar a Carolina la office manager por la atención que le caracteriza muy buena en relaciones públicas

Екатерина Мошковская 2 years ago

Посещала доктора Алекса, имела большие проблемы с зубами. Доктор Алекс всё вылечил отлично, без боли, аккуратно, профессионально, я впервые смогла расслабиться в кресле у стоматолога и не переживать. По вопросам зубов теперь только к нему! Рекомендую! Спасибо за красивую и здоровую улыбку.

Celma Cunha 2 years ago

Encantador, dentista ! super confortável e sem nenhuma dor! Extraordinário serviço, com maestria e paciência para um maravilhoso sorriso que sempre desejei

Mayrene Morillo 3 years ago

Me encanta el trabajo que me realizó mi doctor. Me siento feliz 😁 gracias!

Nilvane Teixeira 3 years ago

O pessoal da dental importante são muito competente e o trabalho do doctor Alex e excelente. Recomendo muito.

Olga Garcia 3 years ago

Lo recomiendo al 100% muy buen doctor y el equipo de trabajo exelente.Gracias Dr Alex

Olga Garcia 3 years ago

Lo recomiendo al 100% muy buen doctor y el equipo de trabajo exelente.Gracias Dr Alex

Nilvane Teixeira 3 years ago

O pessoal da dental importante são muito competente e o trabalho do doctor Alex e excelente. Recomendo muito.

Mayrene Morillo 3 years ago

Me encanta el trabajo que me realizó mi doctor. Me siento feliz 😁 gracias!

Celma Cunha 2 years ago

Encantador, dentista ! super confortável e sem nenhuma dor! Extraordinário serviço, com maestria e paciência para um maravilhoso sorriso que sempre desejei

Екатерина Мошковская 2 years ago

Посещала доктора Алекса, имела большие проблемы с зубами. Доктор Алекс всё вылечил отлично, без боли, аккуратно, профессионально, я впервые смогла расслабиться в кресле у стоматолога и не переживать. По вопросам зубов теперь только к нему! Рекомендую! Спасибо за красивую и здоровую улыбку.

Jeannette Diaz 2 years ago

La atención del odontólogo Ford es excelente ya que su profesionalismo hacia el paciente es bueno yo en lo particular soy muy nerviosa y me siento muy cómoda en manos del dentista. También quiero destacar a Carolina la office manager por la atención que le caracteriza muy buena en relaciones públicas

Катерина Кравченко 2 years ago

Посещала клинику несколько раз, осталась очень довольной. Доктор Алекс проявил профессионализм в своем деле, учитывая мое положение ( беременность) , все прошло успешно, и чувствовала себя очень хорошо. Огромное спасибо!!!

Anna Anosova 2 years ago

Выражаю свою признательность волшебным рукам и настоящему лечебному таланту 👍💪🏻Alex Fedorenko Неоднократное двухчасовое лечение пролетало незаметно, все манипуляции были легки и безболезненны, руки врача были невесомы и совершенно не задевали ни щек, ни губ, не давили на челюсти, 🤩а обстановка в кабинете спокойная умиротворяющая, иной раз даже забывала, что нахожусь в кресле стоматолога, если глаза закрыты и звучала негромкая музыка. 😊Благодарю вас, Alex Fedorenko ,за ваш талант Врача!. Рекомендую! И обязательно приеду еще если мне понадобится 😉🤩🫶🏻

Johao cardona vallejo 1 year ago

Bueno, colo hispano en usa, ir al dentista no es favil ni economico, pero la verdad es que en este lugar encontre tanto como in excelente servicio como muy buenos precios, tienen muy buen personal empezando por Carolina la señorita del mostrador, el Dr Ford tiene muy buen trato y aremas es muy claro con el tratamiento!! Super recomendados!! Well, as a Hispanic in the USA, going to the dentist is not easy or economical, but the truth is that in this place I found both excellent service and very good prices, they have very good staff starting with Carolina, the lady at the counter, Dr Ford He has very good treatment and Aremas is very clear with the treatment!! Super recommended!!

Natali 1 year ago

Всем привет! Сегодня я хочу дополнить свой отзыв о клинике которую посещаю без стресса и каких то негативных эмоций! Мне не повезло и зубы мое слабое место...поэтому опыт лечения у меня очень большой. И я могу твердо утверждать ,что это лучшая стоматология из всех где мне приходилось лечить зубы! Команда Алекса очень организованная и невероятно компетентна ! При всем этом работники постоянно изучают новые технологии и приспособления. Подход очень индивидуальный к каждому клиенту, терпение и выдержка на высоте. Сотрудники сплочённые и предупреждают действия друг друга, я в восторге! При не предвиденных обязательствах, всегда стараются назначить запись или перенести если не получается приехать в уже назначенный день! Рекомендую от всего сердца! Спасибо!!!

Viktoriya Panchelyga 1 year ago

Привіт. Завітали в студію і нас одразу охопила благоприємна атмосфера🤗 Адміністратор Кароліна дуже мила 🥰 Гігієна та чистота на вищому рівні. Нам порекомендували і ми стали пацієнтами. Алекс та його команда відповідальні професіонали своєї справи. Ми щиро раді знайомству з цією неймовірною командою🥰 з нетерпінням чекатиму кінцевого результату для мого брата. Сподіваюся він сяятиме не лише посмішкою але і щастям🤗

Olena Kompanets 8 months ago

Дуже дякую лікарю Алексу за гарну роботу відносно моєї посмішки. Людина знаходиться на своєму місті 😊🙌 всім добра 😊

Vlad Getman 7 months ago

I haven’t been to the dentist in 9 years and finally decided to make a trip from Missouri to see Dr. Alex and his team! It was the best decision I’ve made! Ребята, у кого проблемы с зубами настоятельно рекомендую эту клинику! Прошел весь курс лечения за два дня. Если бы еще раз приходилось лечить зубы, это было бы только в Метро дентал! Alex is perfect doctor, a Pro in his trait !

Aleksei Plotnikov 5 months ago

I went to another dentist for five years, and I was disappointed with that place! As for Metro Dental & Implant Studio, the first visit proved to be very effective and informative. I received excellent advice and a clearer idea of what I need to do with my teeth in the coming time! Thank you to these people for their high professionalism and individual approach!

Лидия Левина 5 months ago

I’d love to share my experience at this dental studio. This was one of those rare times when a dental visit felt calm, comfortable, and genuinely pleasant. I received a complimentary consultation where everything was explained clearly and thoroughly, and a thoughtful treatment plan was created for me. Throughout the entire visit, I felt completely taken care of. The team worked with such professionalism, precision, and care, always paying close attention to my comfort. All of my dental treatment was done beautifully, and I left not only with great results but also feeling relaxed and truly grateful. I’m so happy I trusted this team and found a dental studio I can confidently call my own. Thank you for your professionalism, kindness, and care. I will definitely be coming back.

Honest person 5 months ago

I rarely write positive reviews, but this time I want to say thank you 100%. I truly appreciate honest doctors who care about their reputation, their work, and their patients — not just money. This doctor is exactly that. The free consultation lasted over an hour, not 10 minutes. X-rays were taken, and everything was clearly explained and shown to me: what treatment was needed, why, and what the underlying causes were. There was no rush and no pressure — just professionalism, attention, and genuine care. I am also very happy with the treatment itself. Highly recommended!

Big Kid Barone 5 months ago

I dont leave reviews anymore...I forget to update them sorry

Yevgen Dragoy 4 months ago

Great experience at this dental clinic! Dr. Alex and his team are highly professional and attentive to every detail. The quality of work is excellent, and the entire process was smooth and VERY comfortable. Highly recommend this clinic to anyone looking for reliable and high-quality dental care.

Tracy 4 months ago

Love Metro dental ! Dr Alex does a great job with implants and taking care of the whole picture. The staff wonderful to work with .

Polina Batova 3 months ago

I had an appointment at this clinic and I was very satisfied with my experience!) The clinic is very clean, modern and well-organized. The staff is friendly and professional. The doctor was kind, and highly competent. Everything was explained clearly, and I felt comfortable throughout the visit. I truly appreciate the quality of care and would definitely recommend this clinic to others 🥰

Mark
Tim
Sharon
Timothy

Our Location

1 Wallis Court, Suite 3
Lexington, MA 02421
New Patients: 617-356-0860
Existing Patients: 413-848-6923

Service Hours

Monday - Friday 9:00 AM - 4:00 PM
Saturday Closed
Sunday Closed